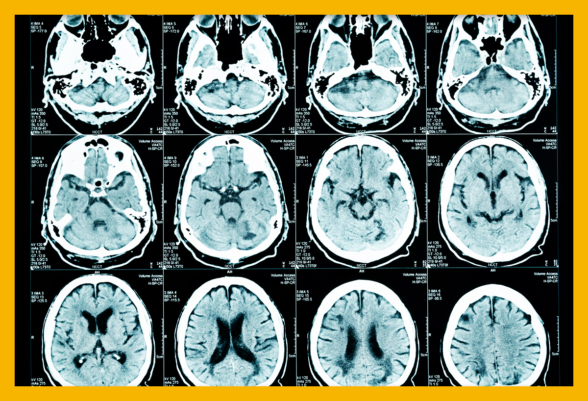
뇌경색은 뇌로 가는 혈웅이 막혀 뇌세포가 손상되는 질환으로, 신속한 대처가 매우 중요합니다. 특히 초기증상에 대한 인식이 높아지면, 치료를 신속히 받을 수 있어 예후가 한층 좋아질 수 있습니다.



이번 글에서는 뇌경색의 초기증상 7가지를 알아보고, 이를 통해 어떻게 빠르게 대처할 수 있는지에 대해 자세히 설명드리겠습니다.
뇌경색이란 무엇인가요?
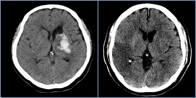
뇌경색은 뇌의 특정 부위에 혈액이 공급되지 않아 발생하는 문제입니다. 주로 혈관이 막히거나 좁아져 혈액이 제대로 흐르지 않을 때 발생하죠. 전 세계적으로 많은 사람들이 이 질환으로 고통받고 있으며, 특히 노인층에서 빈번하게 발생합니다. 뇌경색을 예방하고 조기에 발견하는 것이 중요한 이유는 이 질환이 뇌에 큰 손상을 줄 수 있기 때문입니다.
초기증상의 중요성
뇌경색은 초기증상이 뚜렷하지 않은 경우가 많지만, 빠르게 인지하는 것이 중요합니다. 초기증상을 인지한다면 응급치료를 받을 가능성이 높아지고, 그로 인해 심각한 후유증을 예방할 수 있습니다. 여러분의 가족이나 주변 사람들 중 뇌경색의 증상이 나타난다면 바로 병원에 가야 한다는 점을 유념해야 합니다.
뇌경색 초기증상 1: 얼굴 비대칭
첫 번째로 알아볼 초기증상은 얼굴의 비대칭입니다. 아침에 일어났을 때 혹은 갑자기 움직일 때 얼굴의 한쪽이 처지거나 이상한 감각을 느끼는 경우가 있습니다. 예를 들어, 한쪽 입꼬리가 올라가지 않거나 눈이 감기는 느낌이 드는 경우가 이에 해당합니다. 이런 증상은 신경계의 일부가 문제가 발생했을 때 나타나기 때문에 주의가 필요합니다.
뇌경색 초기증상 2: 언어 장애
두 번째 증상은 언어 장애입니다. 상대방과 대화 중에 단어가 잘 생각나지 않거나, 같은 단어를 반복해서 말하는 경우가 발생할 수 있습니다. 이 경우, 말을 하는 것이 힘들어지며, 이 때문에 대화가 어색해질 수 있습니다. 언어 장애가 느껴지면 즉시 medical attention을 받아야 합니다.
뇌경색 초기증상 3: 팔이나 다리의 마비 혹은 저림
세 번째로는 팔이나 다리의 마비 및 저린 느낌입니다. 특히 한쪽 팔이나 다리가 움직이지 않거나 저릿한 느낌이 든다면, 이는 혈액순환 문제가 발생했음을 의미할 수 있습니다. 이러한 점에서는 한쪽이 아닌 두쪽에서의 마비는 신경 문제를 의심해볼 만한 상황입니다. 즉시 의료기관에 방문하여 검사를 받는 것이 중요합니다.
뇌경색 초기증상 4: 시야의 변화
네 번째 증상으로는 시야의 변화가 있습니다. 갑자기 시야가 흐려지거나 한쪽 시야가 보이지 않는 경우에는 주의를 기울여야 합니다. 이는 종종 시신경의 문제와 관련이 있으며, 뇌경색을 포함한 여러 신경계 질환의 특징적인 증상입니다. 시각적인 변화는 단순한 피로나 스트레스가 아닐 수 있으니, 전문의의 상담을 권장합니다.
뇌경색 초기증상 5: 갑작스러운 두통
다섯 번째 초기증상은 갑작스러운 두통입니다. 일반적인 두통과는 달리 매우 강한 통증을 동반할 수 있으며, 기절하거나 구토를 동반할 수도 있습니다. 이런 증상이 나타나는 경우는 혈관이 터지거나 뇌세포가 손상됐을 가능성이 높기 때문에 즉각적인 처치가 필요합니다. 통증의 정도에 따라 크게 다르지만, 결코 무시해서는 안되는 증상입니다.






뇌경색 초기증상 6: 균형 감각 상실
여섯 번째는 균형 감각의 상실입니다. 걸음을 걸을 때 몸이 흔들리거나 넘어질 것 같은 느낌이 든다면, 이는 뇌의 균형 감각과 관련된 부분에 문제가 생겼음을 암시합니다. 이러한 증상은 일상 생활에 큰 지장을 줄 수 있으며, 부상을 유발할 위험도 높습니다. 따라서 간단하게 넘겨버리지 말고 적절한 대처가 필요합니다.






뇌경색 초기증상 7: 혼란과 기억 상실
마지막으로 혼란과 기억 상실이 있습니다. 갑자기 주변 상황이 어지럽거나, 간단한 문제를 해결하는데 어려움을 느껴 기억을 잃어버리는 경우도 있습니다. 이는 신경계의 기능 이상을 나타낼 수 있으며, 매우 심각한 신호로 받아들여야 합니다. 이럴 경우 주변 사람들에게 말하고 즉각 병원에 가야 합니다.






빠른 대처가 필수
뇌경색의 초기증상이 나타날 경우, 최대한 빠르게 대처하는 것이 중요합니다. 각 증상이 발생했을 때의 상황을 정확히 파악하고, 가능한 한 신속하게 의료기관에 가야 합니다. 응급처치와 조기 치료가 예후에 큰 영향을 미치므로, 즉각적인 대처가 필수적입니다.






가족과 주변인을 위한 교육
앞서 이야기한 초기증상에 대해 반드시 가족이나 가까운 사람들과 공유하시기 바랍니다. 그들이 뇌경색의 초기증상을 인식할 수 있게 되면, 위기 상황에서 더욱 신속하게 움직일 수 있습니다. 서로의 건강을 지키기 위한 교육은 결코 과하지 않습니다. 가족의 건강은 여러분이 얼마나 잘 알고 있느냐에 달려 있습니다.






정기적인 건강검진의 중요성
뇌경색 예방을 위해서는 정기적인 건강검진이 중요합니다. 고혈압, 당뇨병, 고지혈증 등 기본적인 건강 상태를 점검받는 것이 좋습니다. 이러한 질환들은 뇌경색의 위험 인자를 증가시킬 수 있기 때문에, 미리 체크하고 관리하는 것이 필수적입니다. 건강은 예방이 최선이라는 말을 잊지 말아야 합니다.






생활습관 개선하기
건강한 생활습관 또한 뇌경색 예방에 큰 영향을 미칩니다. 규칙적인 운동과 균형 잡힌 식사를 통해 체중을 관리하고, 스트레스를 최소화하는 것이 바람직합니다. 흡연이나 음주는 뇌혈관을 해치는 주요 요인들이니, 이를 줄이거나 끊는 것이 중요합니다. 이렇게 작은 변화들이 큰 차이를 만들어낼 수 있습니다.
마무리하며
뇌경색 초기증상에 대한 인식과 신속한 대처는 생명의 시계를 늦출 수 있는 가장 중요한 요소입니다. 초기증상 7가지를 기억하고, 이를 주변과 공유하는 것이 건강한 삶을 사는 첫걸음입니다. 각자의 안전과 건강을 위한 노력이 필요하며, 이를 통해 더 나은 미래를 맞이할 수 있을 것입니다. 건강은 단순한 운이 아니라, 스스로의 선택과 노력이 만드는 결과라는 점을 명심하셨으면 합니다.